



Tip.채혈과 분리, 보관이 한번에 가능한 큐오필 키트!
큐오필은 기존의 줄기 세포를 분리하기 위한 복잡하고 비용이 소모되는 과정 없이 간단한 조작만으로 2회의 원심분리를 할 수 있게 개발하여 혈장에 남아 있는 혈액 세포를 더욱 더 확실하게 농축시킬 수 있습니다.


DUAL
히알루론산 필러와 혈액 전구 세포의 결합으로인한 시너지 효과 UP!
SAFE
인체 동일 성분으로 무해하고 자연스럽게 체내흡수되기 때문에 안전함
LONG-LASTING
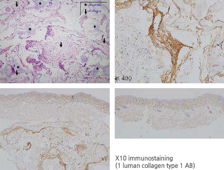
혈액전구세포로부터분화된 콜라겐 등의 인체 조직과 히알루론산 필러가 결합되어 기존의 단일 히알루론산 필러보다 더 훨씬 오래 지속됨
REMOVER
녹이는 주사제가 있어
쉽게 제거 및 수정이 가능






